2017
6/06
【症例・ホワイトニング】ガムホワイトニング知ってますか?
歯肉の黒ずみとホワイトニング
今回は、ホワイトニングの症例の中でも、歯肉のホワイトニングの症例とそのホワイトニングの内容についてご説明したいと思います。歯科医院で行えるホワイトニングは、歯のホワイトニング以外に歯肉のホワイトニングもあります。これを英語名で『ガムホワイトニング』などと呼ばれています。Gum(ガム)とは歯ぐきの事を意味します。
お口のお悩みの中でも、歯の黄ばみでお悩みの方も多いですが、実は、歯ぐきの黒ずみに悩んでいる方も多くいらっしゃいます。歯ぐきの黒ずみの原因は様々で、タバコや遺伝的要因によって、歯グキが黒ずんでしまう場合が多いようです。
この歯ぐきの黒ずみの原因は、実はメラニン色素です。皆様が日焼けなどをした時に真っ黒になりますよね、まさにこれがメラニン色素の仕業です。これは、皮膚が紫外線から皮膚を守るためにメラニン色素を放出するためであり、一種の防御反応と言えます。
実は、これが歯ぐきでも起こってしまうわけです。ニコチンなどを含むタバコの成分から、歯肉を守ろうとしてメラニン色素を放出します。これが歯ぐきの黒ずみの原因です。
(もちろん、タバコをやめることで軽減できますので、まずは禁煙をオススメしたいと思います)
その他にも、歯ぐきの黒ずみの原因とされている事が幾つかありますので、この機会にご説明しておきます。生まれつき歯茎の色が黒ずんでいる場合もありますが、明らかに以前と違って歯ぐきが黒ずんできたという場合は、以下のような事が考えられます。ご一読ください。
1.歯周病によるもの
 歯周病より、歯ぐきの血液循環が悪くなってしまう場合があります。その場合は、歯ぐきが紫色になります。
2.喫煙によるもの
 タバコに含まれるタールやニコチンが色素沈着を引き起こします。また、喫煙による一酸化炭素が血液循環を悪くすることも要因としてあげられます。
3.差し歯によるもの
 差し歯をしている場合、そのさし歯の金属が歯肉に沈着して黒ずんでしまう場合があります。
4.体調不良によるもの
 生活習慣や食生活の乱れなどによっても、歯ぐきが黒ずむ場合もあります。
お口を大きく開けて笑った時に、『黒ずんだ歯ぐきは嫌だな…』と思っている方は、特殊な薬剤の塗布で、歯ぐきを白くすることができます。これがガムホワイトニングです。歯のホワイトニングはよく知っていても、思いの外、歯肉のホワイトニングについては、あまり知られていないかもしれません。
ただ、歯ぐきの黒ずみの原因は様々です。まずは歯科医院にて、きちんと診てもらう事が大切なので、お気軽にご相談ください。ガムホワイトニングで改善できるのは、歯ぐき全体が黒ずんでいる場合です。
ガムホワイトニングの効果と実際
ガムホワイトニングの効果は人によってマチマチです。個人差もありますので、一概に、どのような効果がでるかなどは一括りで説明できません。しかし、ガムホワイトニングを試された方の多くの方には効果が見られていますので、安心してご相談いただければと思います。(中には、稀にあまり大きな効果が見られず、完全に綺麗にならない場合もございます。ある程度、メリット・デメリットを踏まえて施術を受けていただくことになります)
施術は大体、3回〜4回の施術で効果がみられます。(もちろん、個人差があります)
また、虫歯や歯周病などをお持ちの方にガムホワイトニングを行うと、薬剤が染みたりします。ガムホワイトニングを行う前は、必ず虫歯や歯周病のチェックと治療を行う必要がありますのでご了承ください。
さらに、ガムホワイトニングを施術している間は、歯ぐきの着色の原因となりうる喫煙やコーヒー、紅茶、お茶などの摂取は控えていただくことになります。これは、施術中のみならず、ガムホワイトニング後の一定期間も同様となります。ガムホワイトニングの施術時にご説明いたしますのでご注意ください。これは、これらの摂取により、ガムホワイトニングの効果が落ちてしまうリスクがあるためです。十分ご注意ください。
ガムホワイトニングの効果ですが、だいたい2〜3年すると、その効果が落ちてしまい、元の黒ずんだ歯ぐきに戻ってしまいます。前述したように、喫煙やコーヒー、紅茶、お茶などの、歯ぐきの黒ずみに影響するようなものの摂取も関わってきます。できるだけ長い期間、効果を維持したい方は、こまめに歯科医院にてホワイトニングをしていただくほうが良いと思います。
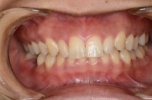
ガムホワイトニングの症例のご紹介
それでは、ガムホワイトニングの症例のご紹介をいたします。
こちらの方は、一回のガムホワイトニングの処置時間は五分程度でした。それを3~4回行うことでピンク色の歯肉に復活しました。(上写真)施術前はかなり歯ぐき全体が黒ずんでいましたが、(下写真)施術後は、綺麗なピンク色になっていることが分かります。


それでは、簡単にガムホワイトニングの施術の流れをご説明いたします。
まず最初に、歯肉の表面を乾燥させます。十分歯肉の表面が乾燥した後で表面麻酔薬を塗布します。その後、歯肉に塗った麻酔薬を丁寧に洗い流し、ホワイトニング剤を塗布します。
当院では、ガムホワイトニング剤としてフェノール薬液というものを使用しております。
その後は、無水アルコールでフェノール薬液を中和します。ガムホワイトニング後は、一気に黒ずみが改善するのではなく、数日間かけてピンク色になっていくのを確認します。万が一、黒ずみが残っている場合は、再度、ガムホワイトニングを行います。


 
  
  
 


